
温都讯 北京高一学生张同学最近两年头颅越来越大,双眼视力越来越差,特别是半年前他右眼几乎看不见了。他跑遍了北京各大医院,但都认为不能医治。在全家人绝望之时,经北京大学人民医院医生推荐,找到了温医大附属眼视光医院院长吴文灿教授。上周三吴文灿教授在导航引导内窥镜下给他做了右眼手术,丢失的视力居然奇迹般地找回来了。全家人喜出望外之际,怎想着一定要好好感激吴文灿教授,但各种方式都被他委婉谢绝了。1月11日张同学出院之际,张同学妈妈别出心裁给吴院长画了一张肖像漫画,张同学与他爸爸分别写了一封情真意切的信,以此种特殊的方式向吴院长表达了这份诚挚的感激之情,连连称赞温州出神医!

1月11日上午,记者在温医大附属眼视光医院五病区见到了张同学,看上去张同学长的高高大大,特别是他的头确实特别大,但见不到一点他的眼睛做过手术的痕迹。

张同学父亲说,这两年多来儿子头越来越大,双眼看东西越来越模糊,这让全家人可伤透了脑筋。他们跑遍了北京各大医院,北京各大医院的教授都对此病没有理想的治疗方案。有的医生认可可试行开颅治病,但一方面效果很难肯定,同时开颅风险很大,并发症多。考虑到开颅风险太大及效果不确定,他们没有同意。绝望之际,北京大学人民医院眼科副主任医师王毅说,“这病只有温医大附属眼视光医院院长吴文灿能治”,力荐他们至温州找吴院长做手术。同时,好心的王毅教授还为他专门写了推荐信。张同学父亲很心细,他查阅了吴教授许多学术报告以及著作,且还观看了他许多手术视频,觉得吴教授的内窥镜微创手术治疗儿子的病应该最理想,风险可控,最终下定决心来到了温州求治。
上个月22日,他找到了吴文灿教授。经过仔细、系统检查,原来张同学患上了“骨质纤维异常增生症所致的压迫性视神经萎缩”,建议采取导航引导内窥镜下经鼻进行减压手术治疗,把被异常增生的骨质纤维压迫的视神经解放出来。
因为等待吴文灿教授手术患者太多,张同学与爸爸预约登记了手术,满怀期待地回到了北京。但糟糕的是,近半月来,张同学右眼视力进行性快速下降,几乎只能看到眼前手晃动,其它的什么也看不见了。心急如焚的爸爸没办法,千方百计通过网上预约、网络咨询、短信信息向吴文灿教授求救,恳求吴文灿教授能尽快给儿子手术,加之担心新冠疫情防控问题,万不得已再次带着儿子来到温州,且一直住在酒店里等待着……
1月6日下午4时30分到当晚8时30分,历时4个小时,吴文灿教授与其团队在导航系统引导下,采用其精湛的内窥镜微创技术成功地为张同学进行了右侧视神经管减压手术,手术后次日,张同学右眼居然奇迹般地能看清眼前的东西了,丢掉的视力终于又找回来了!
据吴文灿教授团队涂云海副主任医师介绍,骨质纤维异常增生症很罕见,是一种病因不明、缓慢进展的骨纤维组织疾病。正常骨组织被吸收,而代之以均质梭形细胞的纤维组织和发育不良的网状骨骨小梁,可能系网状骨未成熟期骨成熟停滞或构成骨的间质分化不良所致。对于颅骨异常增殖者,过度增生的骨质将压迫视神经导致视力下降,甚至完全丧失。以往对该类疾病没有任何方法,甚至只能眼睁睁地看着患者视力完全丧失。但自从2015年开始,吴文灿教授突破了此极限,在国际上率先采用导航引导进行内窥镜下视神经减压术与颅底重建术,手术效果很好,且迄今为止,为60多例患者成功施行了手术。
吴文灿教授说,张同学不同于以往的同类患者,一方面,他整个鼻腔鼻窦、颅底的过度增生的骨质已经部分囊性变,像泥巴一样软,在去除骨质时根本找不到以前那种感觉,且很难精准定位,稍有不慎,就会引起视神经医源性创伤,甚至损伤海绵窦或颈内动脉而大出血,危及生命;另一方面是,因为囊性病,囊腔内充满了大量的血管,血供非常丰富,术中出血很厉害,而此种出血因为是异常的骨纤维中的血管出血,一般的止血措施都不管用,为手术带来了极大的困难。同时,因为头部特别大,从鼻外至颅底的距离比其他患者长的多,操作相当困难,甚至医院手术室的剥离子、钳子等的长度都不够。好在步步为营,一点一点地把异常的骨质纤维去除,最终非常完美地完成了该手术。

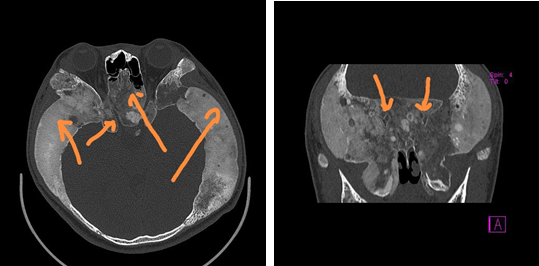
△患儿术前颅脑CT扫描显示,整个颅骨:

张同学母亲目前在北京给外国人上中文课,她说:“当医生告诉她孩子手术很成功时,我悬着的心才总算落下来了”!这些天来,张同学爸爸、妈妈一直想着如何感谢吴教授,但不知如何表达这份感激之情,多次感谢都被吴教授谢绝了。最终,多才的妈妈想到了画一张吴教授的肖像漫画送给他,于是找了一张吴教授的像片,很快就画好了。她说,有这么好的医生真的是百姓之福!而张同学自己和他的爸爸都分别从自身的真切感受给吴院长写了一封信信,并给吴教授本人、他的团队各送上一面锦旗。张同学说,“自己得了这种病简直要崩溃了,因为有您,我才能继续拥有光明;因为您,我才能继续生活下去;正因为您在,我才有继续追逐幸福的权利!如今我能焕发生命力,昂首挺胸大步行走在生活的大道上。”

张同学父亲说,“吴院长和团队成员是最棒的,最专业的,真正的医德高尚,医技超群!感谢你们让孩子重拾信心,让更多的患者看到希望”!
温都记者 陈忠

网友评论:
外面的月亮比较圆 [回复] 4
弱视能治疗吗?驾照都不能考 好痛苦
2021-01-12 19:49