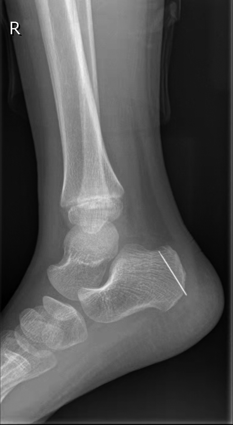
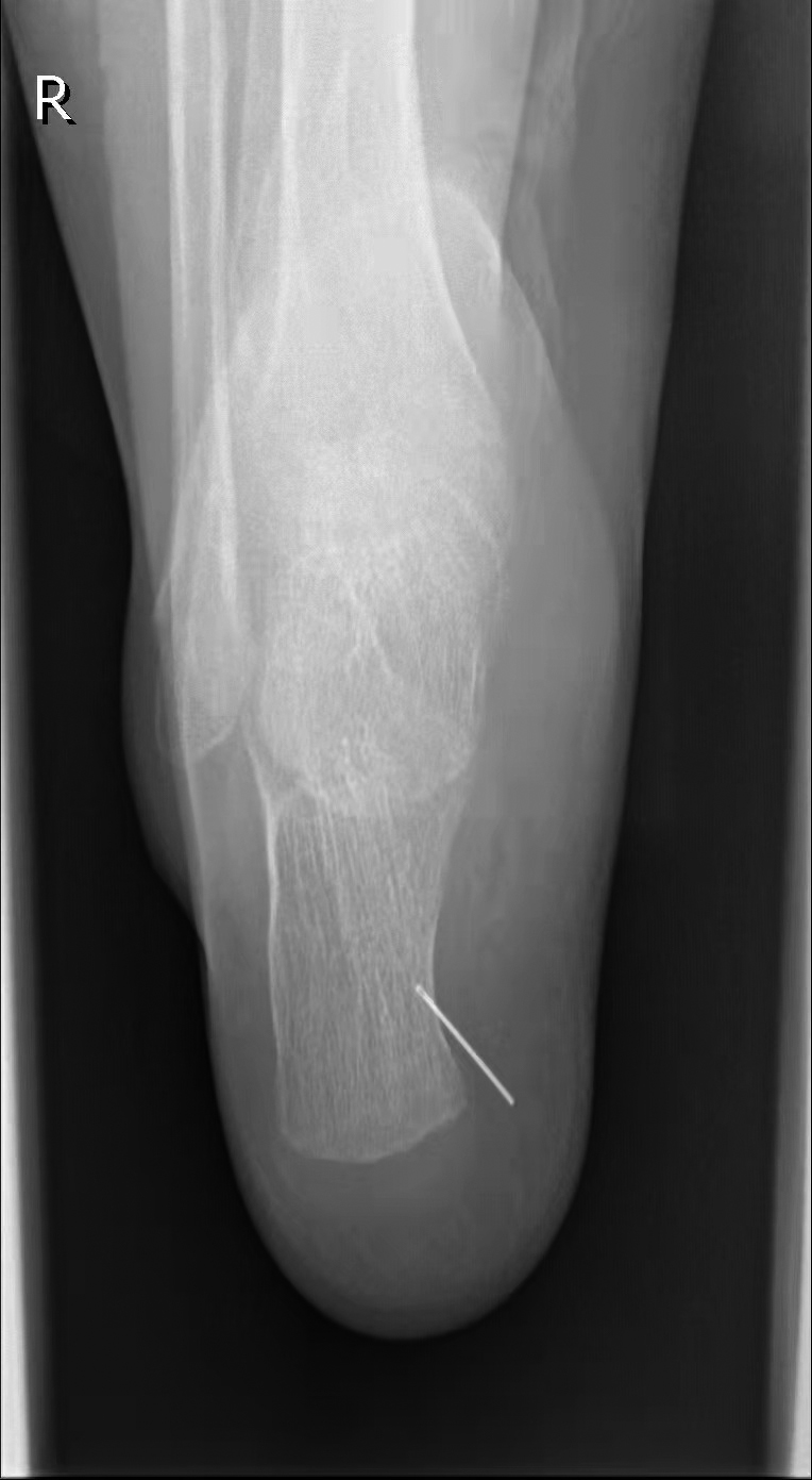
温都讯 近日,右脚脚踝处出现硬币大小的红斑并有脓肿的5岁男童小杨到医院就诊,结果发现脚踝处扎进了一枚2厘米长的绣花针。

几天前,小杨在爷爷家玩,小杨在床上蹦蹦跳跳时不小心踩到了绣花针,绣花针扎进了右脚踝,当时没什么疼痛的感觉。第二天,小杨妈妈带着他去公园玩了一天。到了第三天,小杨的脚踝开始出现红肿的迹象,妈妈带他去温州市中心医院检查。该院骨科副主任医师楚宇鹏经过检查,发现脚踝处有一个肉眼很难发现的细小针孔,安排其去拍片。片子出来后,着实让小杨妈妈吓了一条,一枚绣花针“藏”在脚踝里。

楚宇鹏说,看似简单的体内金属异物取出有时像“大海捞针”,因为这枚绣花针在体内会游走,需要先将绣花针定位,通过多次拍片找到准确位置再进行手术。医生用了整整一个小时才将绣花针从小杨的右脚踝处取出。
医生介绍,小儿异物残留是小儿外科急诊的常见病,有小儿误吞硬币,有被鱼刺刺伤食管或咽喉,有被异物刺伤后停留在体内,“小儿在家中玩耍,家长一定要照看好,避免接触危险物品,以免发生不必要的伤害。一旦发生了异物残留,应及时就诊,为治疗赢得时间。”
温都记者 王春霞
审核 林剑静
监制 陈侄辉
网友评论:
森龙汽车服务 [回复] 1
为楚玉鹏主任点赞
2021-12-13 06:25